Call Us Today! 555-5555
Write Us a Review

Results

Helping You Meet Your Dental Goals.

Everything we do here at Waddell Restorative Dentistry in Germantown, TN is geared towards one goal: a satisfied and healthy patient. Through our commitment to continuing education and utilizing the latest in dental technology, we are able to offer a wide range of comfortable services for our patients, including CEREC same-day crowns, veneers, ClearCorrect clear aligners, dental implants, hygiene care and more.

All patients are offered the freedom to choose or to not choose their recommended treatment – you are never forced into any procedure! We simply provide our patients with the information they need to make educated decisions. Below are some typical “before-and-after” results, so you can visualize some of the possibilities for your smile!

Call Today
for an Appointment!

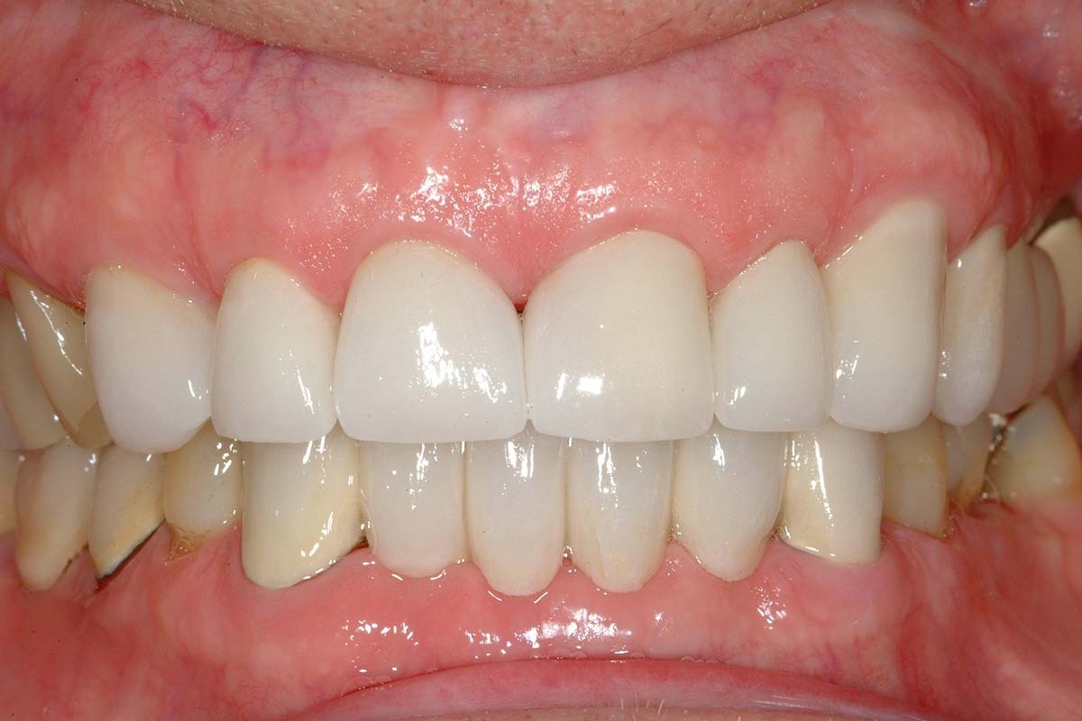
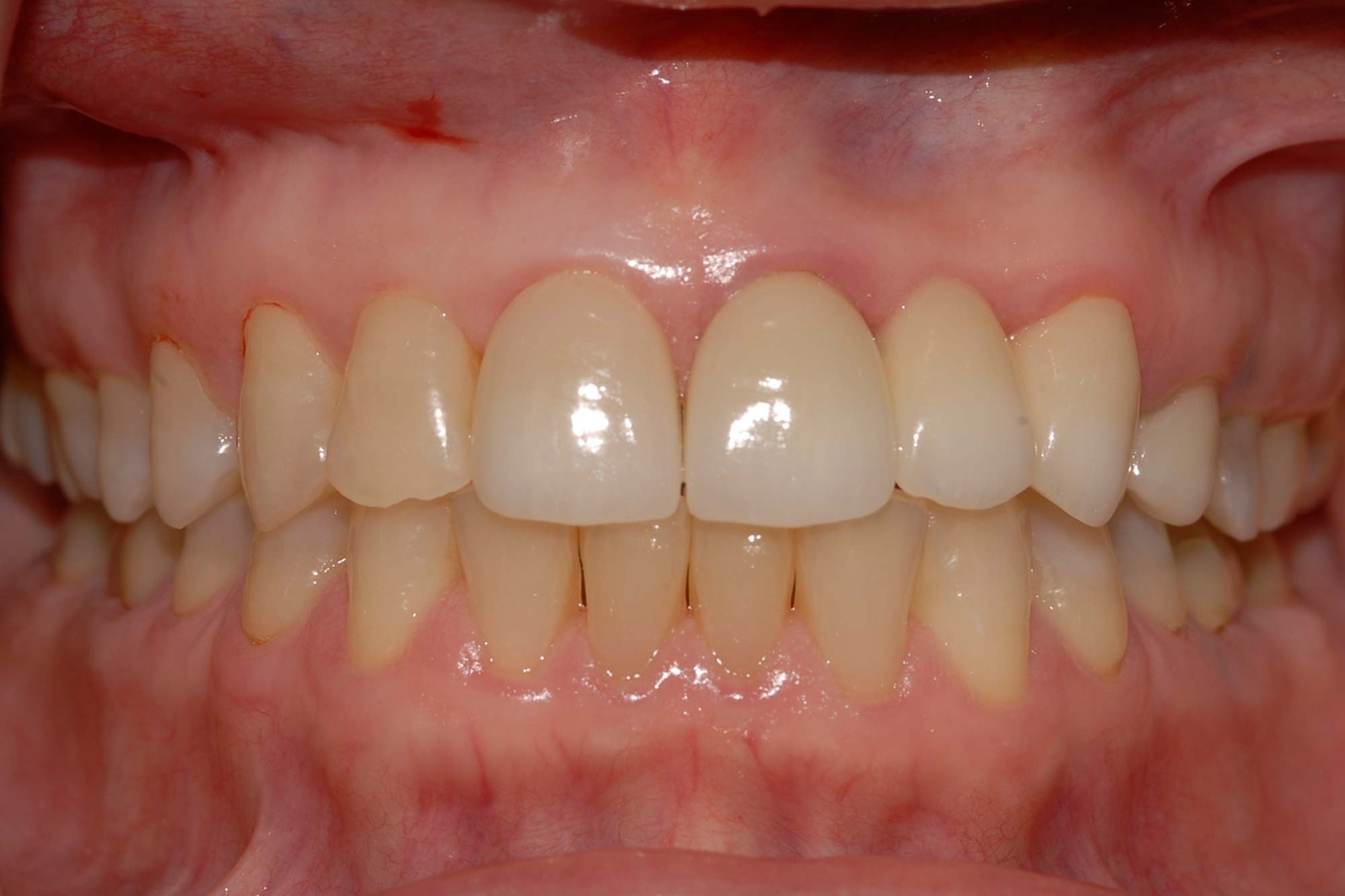
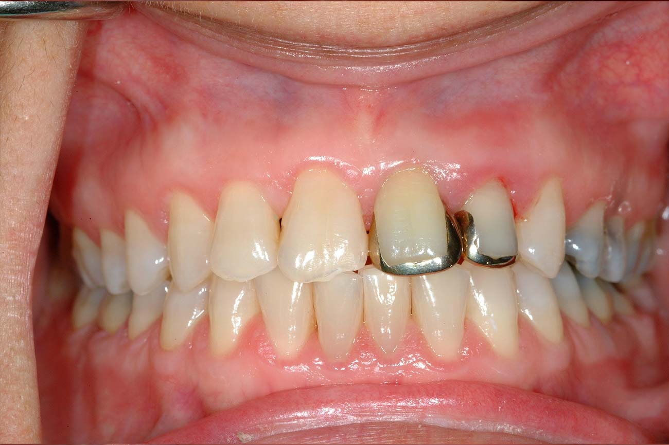
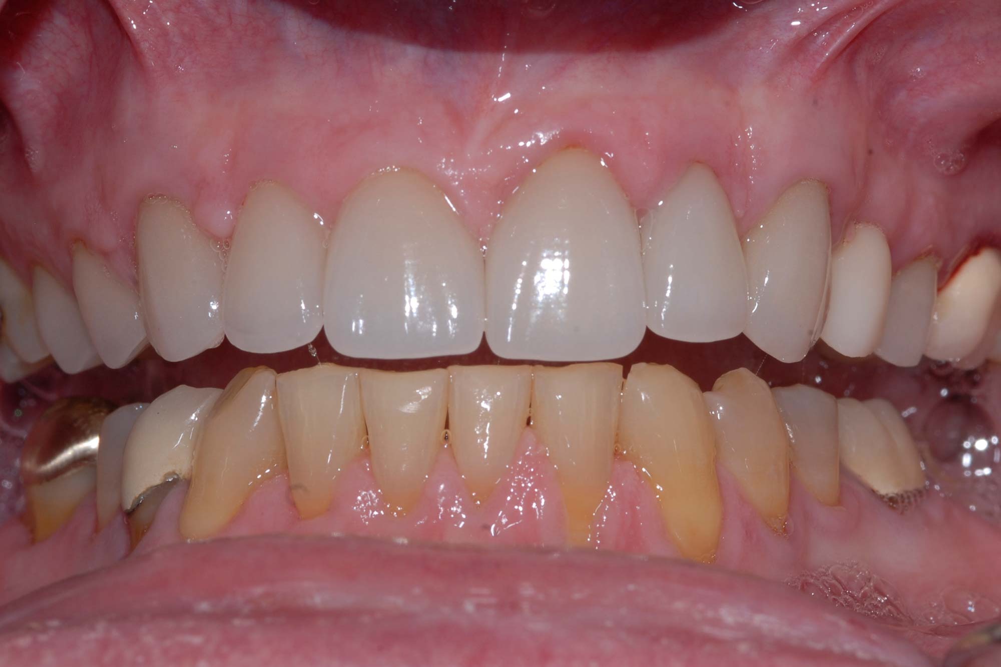
The Bottom Line: Excellent Outcomes for Your Smile!

All patients below are patients of Dr. Waddell’s

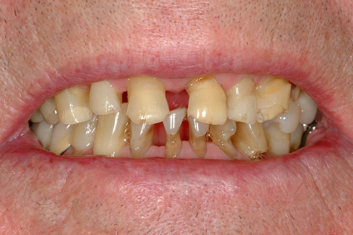
Before

bad teeth before photo at Waddell Restorative Dentistry in Germantown, TN.
bad teeth before photo at Waddell Restorative Dentistry in Germantown, TN.
Before restorative dentistry at Waddell Restorative Dentistry in Germantown, TN.
Before teeth at Waddell Restorative Dentistry in Germantown, TN.

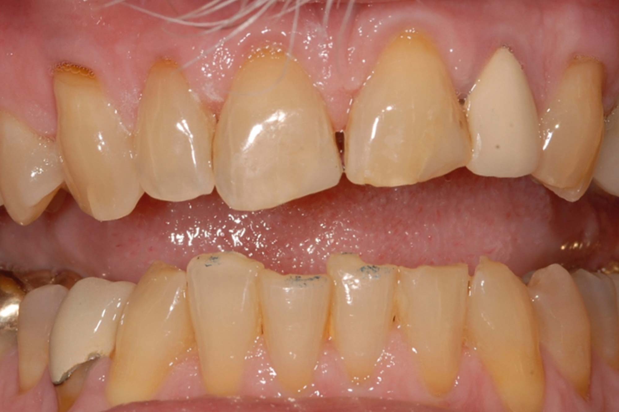
After

good teeth after photo at Waddell Restorative Dentistry in Germantown, TN.
good teeth after photo from Waddell Restorative Dentistry in Germantown, TN.
After restorative denitstry at Waddell Restorative Dentistry in Germantown, TN.
After teeth at Waddell Restorative Dentistry in Germantown, TN.

To get started improving the health and beauty of your smile, contact us today by calling or texting us at
901-756-8855. We look forward to working with you!

VISIT US
Waddell Restorative Dentistry
1900 Kirby Pkwy # 200
Germantown, TN 38138

CONTACTS
Phone: 901-756-8855
Fax: 901-756-8752
Email: srwaddell@drwaddell.com

OFFICE HOURS
Monday – Thursday
8:00 AM – 5:00 PM

APPOINTMENT HOURS

Tuesday - Thursday
8:00 am - 5:00 pm